SparkleSmile Teeth - Affordable Teeth Whitening in Singapore
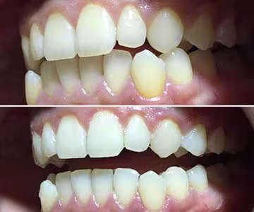
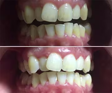
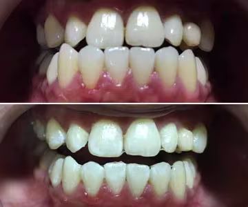
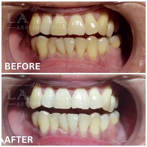
Give Singapore a beautiful smile! Our SparkleSmile Teeth Treatment utilizes a blue LED teeth whitening technology along with an application of non-peroxide teeth whitening gel. The LED light activates the teeth whitening gel which in turn whitens the teeth and remove any tooth stains or discolorations.
The treatment is quick, safe and effective. It is a non-invasive and painless solution for a pearly white smile. You can experience up to 8 shades lighter in 1 session. The treatment is capable of removing all kinds of tooth stains such as those arising from coffee, wine, smoking, aging and medication.
The treatment does not involve heat, needles or drills during the procedure. It is suitable for sensitive teeth and does not damage tooth enamel or teeth structure.
- Up to 8 shades lighter in 1 session
- Suitable for all tooth stains - Coffee / Smoking / Wine / Food Discoloration / Medication
- Non-Invasive, painless and safe
- Immediate results with lasting effect
- Remove all stains and discoloration without polishing or cleansing


